本期【手术新秀】我们将为大家重点推出广西中医药大学附属瑞康医院妇科郭伟堃主任医师带来的“宫腔镜检查+腹腔镜盆腔异物取出术”手术视频。
手术解析
1.手术要点:准确地寻找到异物确切位置,并分离粘连包裹的肠管。
2.手术难点:异物性质不明;腹腔空间大,异物可随着肠蠕动及体位的改变而变化;炎症包裹、粘连致密,恐损伤肠管、膀胱等脏器。
3.手术亮点:快速准确地寻找到异物确切位置及其与周围组织的关系,巧用腹腔镜吸引器钝性分离盆腔致密的肠管粘连。
病史简介
患者梁某某,23岁,G0P0。因“反复下腹痛1月余”入院。期间先后两次在外院诊断为盆腔炎,抗炎治疗无效,既往1年前因“双侧输卵管不通”在外院行宫腹腔镜联合诊治术。
妇科检查:
子宫体前位,质中,表面光滑,压痛明显,活动可。左侧附件区增厚,压痛。
辅助检查:
2019年12月19日
我院超声:
子宫大小45mm*34mm*44mm,宫壁回声欠均匀,于子宫内口处见一宽约3.8mm的条状强回声斜向后壁,似达到子宫体外,后伴声影。左附件区见大小约41mm*16mm的低回声区,边不清,内回声欠均匀。右附件区见大小约70mm*33mm的无回声区,边清,呈长条状,内透声好,后伴声增强。
超声提示:
1.子宫后壁可疑异常条状强回声声像:请结合临床,建议进一步检查;
2.右侧卵巢囊肿声像;
3.右侧附件无回声区(输卵管积液?)声像。

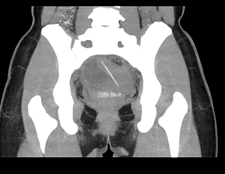
盆腔CT平扫+增强:
1.子宫左后壁至直肠后壁条状高密度影并突破子宫壁、肠壁,异物存留?请结合临床;
2.右侧附件区类圆形囊状影,卵巢囊肿?
3.右侧附件区管状囊状影,输卵管积水?盆腔包裹积液?其他?请结合其他相关检查;
4.宫体左侧旁囊状影,左侧附件囊肿?淋巴管囊肿?


术前诊断:
1.腹痛查因:盆腔炎性疾病?异物引起?
2.子宫肌壁强回声带(性质待查,异物?)
3.盆腔包块性质待查:输卵管积液?黄体囊肿?
手术名称:
宫腔镜检查+腹腔镜下肠粘连松解+盆腔粘连松解+盆腔异物取出+乙状结肠修补术
手术日期:
2019年12月20日
术者简介
郭伟堃
广西中医药大学附属瑞康医院妇科副主任,主任医师
广西微创学会妇科分会宫腔镜学组副主任委员,广西医师协会妇产科医师协会常务委员,从事妇科临床、教学及科研工作23年,擅长妇科腹腔镜、宫腔镜手术,擅长运用中西医结合的方法诊治不孕症、子宫肌瘤、卵巢肿瘤、生殖道畸形、宫腔重度粘连等妇科疾病。
责编:liu
